Creating Perfect Smiles With The Latest In Cosmetic Dentistry
Using the latest in cosmetic dental technology, we can give you a brighter, more beautiful smile that exudes warmth and happiness to create a wonderful first impression.

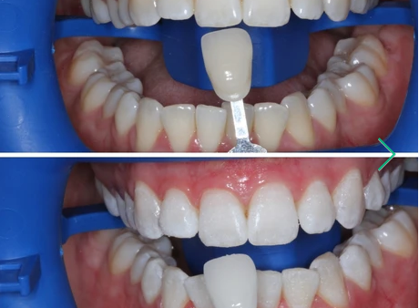
Before and after
Veneers
There are two types of veneers that we offer at Gentle Care Dentistry - composite veneers or porcelain veneers. Veneers are bonded to the front of teeth and are an alternative to crowns for a smile makeover as they require less tooth structure to be removed.
Composite Veneers $400 each
Composite resin veneers use the same material as fillings and our dentists will add a layer with the correct shape and shade onto your natural tooth. These veneers will be light-cured to set. Composite veneers are cheaper and can be repaired easily, however, can get stained and may need to be replaced more often.
Porcelain Veneers $1500 each
Porcelain veneers are custom-made by our lab technician and will be cemented onto your tooth. Porcelain veneers are very durable and are resistant to staining. However, if they are chipped or cracked, the whole porcelain veneer will need to be replaced.
If you have any questions or are considering veneers, please have a consultation with our dentists and they can discuss the pros and cons of each procedure.
Teeth Whitening
The process of teeth whitening involves the use of a bleaching agent to whiten your teeth. Treatment options depend on your dental history, causes of tooth discolouration and the degree of discolouration. Unfortunately, teeth whitening is not suitable for everyone. Therefore at Gentle Care Dentistry, we require a check-up with the dentist before any whitening treatment. Talk to one of our dentists today to discuss the best treatment for you.
At Gentle Care Dentistry we offer the following options for teeth whitening:
-
In-Chair Zoom Whitening, plus a bonus take-home whitening kit
-
Take Home Pola-Day Whitening Pack with customised trays
1. Philips Zoom In-Chair Whitening
The in-chair whitening is performed in the dental clinic and can take approximately 90 minutes. It has the ability to whiten your teeth up to 8 shades, and you will see results on the day. During the procedure, your gums are carefully protected and a hydrogen peroxide whitening gel is applied by the dentist. The light from the Zoom Accelerator helps whiten your teeth faster. We will provide you with a take-home pack after your treatment to allow you to top up.
This option involves two appointments.
-
The first appointment will involve taking impressions to create customised trays, and a check-up and exam
-
The second appointment will involve the in-chair whitening which is based on 15-minute cycles for 3-4 rounds. The complimentary take-home whitening kit will also be provided
2. Pola Day Take Home Whitening Kit
The take-home whitening involves placing a small amount of gel in customised whitening trays. The trays will be worn for at least 30 minutes each day, for around 14 days. Unlike the in-chair whitening, the take-home kits may take at least two weeks to see results.
This treatment will involve two appointments. The first appointment will involve taking impressions to make the customised trays and a check-up and exam. The second appointment will involve the issuing of trays and bleaching kit, and demonstrate how to use correctly.
Cosmetic Injectables
Gentle Care Dentistry offers cosmetic injectables to:
-
Help treat jaw muscle over-activity that is related to jaw pain or joint disorders
-
Improve facial aesthetics as part of the smile design process
Please call us on (02) 8411 2674 and talk to one of our dentists to learn more about our treatment options.






